リバース型人工肩関節置換術
リバース型人工肩関節置換術

肩関節の痛みや機能障害が重い患者さんに対して行われる手術の一つに、リバース型人工肩関節置換術があります。これは肩の関節を人工の関節に置き換える手術で、特に肩の腱(けん)が切れたり関節が大きく傷んで腕が上がらなくなってしまった場合に、有効な治療法となります。できるだけ専門用語を避けて、リバース型人工肩関節置換術について説明します。患者さんが安心して手術を受けられるよう、当院での治療方針や術後の流れもあわせてご紹介します。
●手術の適応(どのような症状に行う手術か)
リバース型人工肩関節置換術は、肩の関節に重度の障害があり、他の治療では十分な改善が得られない場合に検討される「最後の手段」といえる手術です。具体的には次のような病気・症状の患者さんが対象となります。
腱板断裂症性肩関節症(けんばんだんれつしょうせい かたかんせつしょう)

肩の深部にある腱板という筋腱が大きく断裂し、そのまま放置された結果、肩の関節が変形して痛みや可動域制限が生じている状態です。腕を上げ下げしようとすると強い痛みが出たり、肩が十分に動かなくなります。リバース型人工肩関節置換術は、このような広範囲の腱板断裂を伴う肩関節症に対して有効です。
重度の変形性肩関節症
加齢や長年の負担により肩関節の軟骨がすり減り、骨同士がこすれ合って痛みや可動域の低下をきたした状態です。症状が進行して痛みが強く、日常生活にも支障が出るような場合に手術が検討されます。人工肩関節に置き換えることで擦れ合う骨の部分を取り除き、痛みの軽減と関節の動きの改善を目指します。
関節リウマチによる肩関節の破壊

関節リウマチは全身の関節に炎症を起こす病気で、肩の関節も侵されることがあります。関節リウマチが原因で肩の関節の骨や軟骨が破壊され、痛みと可動域制限が生じている場合にも人工肩関節置換術が適応となります。リバース型人工肩関節は、関節リウマチで肩の腱板も損傷しているようなケースでも肩の機能回復が期待できる方法です。
その他
肩の腱板が修復不可能なほど大きく切れてしまった場合や、高齢者の重度の骨折(上腕骨の粉砕骨折など)で肩の構造が元に戻せない場合などにも、本手術が選択されます。いずれの場合も、まず痛み止めの内服や注射、リハビリテーションなどの保存的治療を十分に行い、それでも症状が改善せず日常生活に支障が大きいと判断された場合に手術を検討します。当院では、患者さんの年齢や健康状態、生活レベルなども含めて総合的に判断し、必要と認められる場合にリバース型人工肩関節置換術をご提案しています。
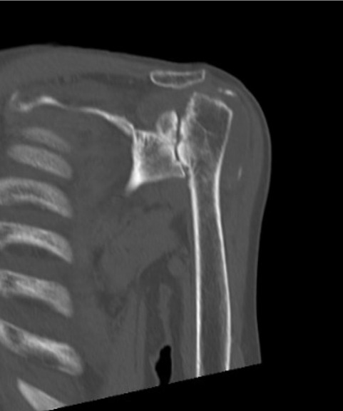
●手術の概要(リバース型人工肩関節とは)
リバース型人工肩関節は、通常の肩関節とは構造が「逆(リバース)」になっている人工関節です。
その仕組みを説明します。肩関節は本来、肩甲骨側に受け皿(関節窩[かんせつか])があり、上腕骨の先端にボール状の骨(上腕骨頭)が向かい合う「ボール&ソケット(受け皿)型」の構造をしています。このボールを腱板という筋建で受け皿に固定した状態で、三角筋という大きな筋肉で引き上げることで腕が挙がる仕組みです。一般的な人工肩関節(従来型人工肩関節置換術)では、この解剖学的な構造と同じ向きに人工関節を置き換えます。しかし、腱板が断裂して機能しない肩では従来型の人工関節を入れても、ボールの固定ができないままなので、腕を十分に挙げることができません.リバース型では人工関節の凸凹(ボールと受け皿)をあえて通常と逆に配置します。具体的には、肩甲骨側の関節窩にボール状の人工物をスクリュー固定します.このことでボールは腱板がないままでも既に固定されてしまったことになります.続いて、上腕骨側に受け皿の部品を取り付け、少し腕を下げた状態でボールと受け皿を組み合わせます。こうすることで、三角筋という、残っている大きな筋肉が引き伸ばされ、効率よく力が発揮できるようになります.このように人工物で関節の構造を反転させることで、腱板機能の肩代りを行い、残っている大きな筋肉である三角筋の力を増幅することで腕を挙げられるようになり、さらには可動部分は、神経のついていない人工物になるため、関節面のこすれによる痛みが生じにくくなります。
この手術によって、痛みの原因となっている擦り減った関節部分を取り除き、人工の関節に置き換えることで痛みを和らげるとともに、動かなかった肩が再び動くようになる効果が期待できます。実際にリバース型人工肩関節手術により、従来は腕が水平より上に上がらなかったような症例でも、術後に頭の高さまで腕を挙げられるようになったケースが報告されています。リバース型人工肩関節は欧米では2000年代に入って広く行われるようになった手術で、日本でも2014年に使用が認可された比較的新しい人工肩関節です。長期成績も良好で海外では10年以上の使用実績があり、日本においても症例数が年々増加しています。当院でも専門の資格を持つ整形外科医がリバース型人工肩関節置換術を行っており、術前には詳細な検査・計画を立てて万全の体制で手術に臨んでいます。
手術の方法について簡単に説明します。手術は全身麻酔で行い、肩の前方を切開して関節にアプローチします。傷んだ肩関節の骨や軟骨の一部を取り除き、そこに人工関節の部品を固定します。リバース型人工肩関節の人工部品は金属や医療用プラスチック(ポリエチレン)でできており、肩甲骨側にボール状の金属、上腕骨側にカップ状の部品をそれぞれしっかりと設置します。手術時間は肩の状態によって異なりますが、概ね2時間程度で終了します。出血量は通常200〜300ml程度で、輸血が必要になることはまれです。人工関節の設置後、必要な筋肉を修復し手術を終了します。
●術後のリハビリテーションと日常生活
術後のリハビリテーションは肩の機能を回復させるためにとても大切です。手術直後は三角巾で腕を固定し、その状態で翌日からリハビリを開始します。最初は指先や肘の曲げ伸ばしなど軽い運動から始め、痛みの様子を見ながら概ね術後4日目から徐々に肩を動かす練習を行います。当院では経験豊富な理学療法士・作業療法士がマンツーマンでリハビリを担当し、患者さん一人ひとりのペースに合わせて安全にプログラムを進めていきます。術後1週間程度で肩の三角巾は除去します。入院期間は患者さんの状態によって異なりますが、目安として1〜2週間程度です。遠方からお越しの患者さんなどは、もう少し長めの入院でしっかりとリハビリを行なってから退院する方もいらっしゃいます.入院中にもできる範囲で身の回りの動作訓練を行い、退院後の生活に備えます。退院後は週1〜2回のペースで外来リハビリに通っていただき、日常生活に支障のない肩の機能回復を目指します。執刀医が退院後も定期検診(両肩手術後の患者さん動画)を行いながら、リハビリテーションを継続して患者さんの回復をサポートしていきます。
手術後の注意点としては、人工関節手術一般についてですが、感染に注意が必要となります.当院ではクリーンルームで手術を行っています.また、日常生活での注意点として、肩の人工関節は脱臼(関節が外れてしまうこと)に注意が必要です。特に術後しばらく(約3ヶ月間)は、腕を無理にひねったり背中の方に手を回したりする動作は控えていただきます。日常生活の動作は、多くの場合、術後1~2ヶ月もすれば痛みが和らぎかなり楽に行えるようになります。術後のスポーツや重量物の挙上についても、特別な禁止事項はほとんどなく、三角筋など主要な筋肉の機能が保たれている方は、両肩の人工関節手術後に農業のお仕事の継続や、介護職員としてのお仕事、あるいは趣味のゴルフやボーリングなどができています.
リハビリの進み具合にもよりますが、3ヶ月経つ頃には肩の可動域が大きく改善し、食事・洗顔・更衣(服の着脱)といった身の回りの動作が概ねスムーズにできるようになる方がほとんどです。無理のない範囲で少しずつできることを増やし、「痛くてできなかった動作がまたできるようになる」喜びを実感していただけるよう、私たち医療スタッフもしっかりサポートしていきます。
荻本医師による両肩のリバース型人工肩関節置換術を受けられた方の動画です
●まとめ
以上が、リバース型人工肩関節置換術の適応・手術内容・術後経過の概要です。肩の痛みで「腕がもう上がらないのでは」と不安に感じている患者さんにとって、本手術は痛みの軽減と機能回復によって生活の質を向上できる可能性があります。当院では保存的治療から手術、リハビリテーションまで一貫して対応し、患者さんが安心して治療を受けられるよう努めております。ご不明な点がございましたら、担当医師やスタッフに遠慮なくご相談ください。手術を受けられる患者さんの不安が少しでも和らぎ、前向きな気持ちで治療に臨めるよう、私たち一同サポートいたします。どうぞお気軽にお尋ねください。
- 関連キーワード
- 人工関節

